증상을 선택하시면 자세한 정보를 확인할 수 있습니다
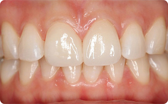
이살리는치과는 하루 만에 치료가 가능해요.
치과 내부에 기공소가 있어 기공사와 직접 소통하며 원데이 치료가 가능해요.

병원과 기공소가 분리되어 치료 시간이 오래 걸림

치과 내부 기공소 + 로봇 제작 → 하루 만에 완성
원데이 치료가 어렵다면 임시치아를 사용해야 하는데, 부정확한 임시치아 틈 사이로 세균이 침투하면
치료 후 시큰시큰 할 가능성이 높기에 하루 만에 끝내는 원데이 치료가 중요합니다.
치료 후 시림
불편함
원데이 치료로
개선
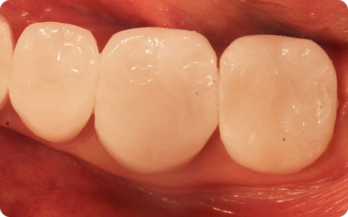
이살리는치과 원데이치료는 디지털스캔+로봇으로 정교하게 제작합니다.

의사와 매니저는
미니쉬테크놀로지에서 직접 교육을 받아요.

미니쉬테크놀로지의 초정밀 가공기술과 노하우를 도입했어요.
대부분 30분~2시간내로 걸리며
진료 후 잠깐 쉬고 나면 치료가 끝납니다.
인레이
40분!
크라운
90분!
1단계
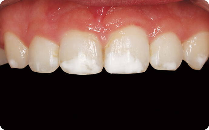
Before
치아 표면에 약간의 변화만 생깁니다.
이 단계에서는 불소 치료나 정기적인 관리를 통해
충치 진행을 막을 수 있습니다.
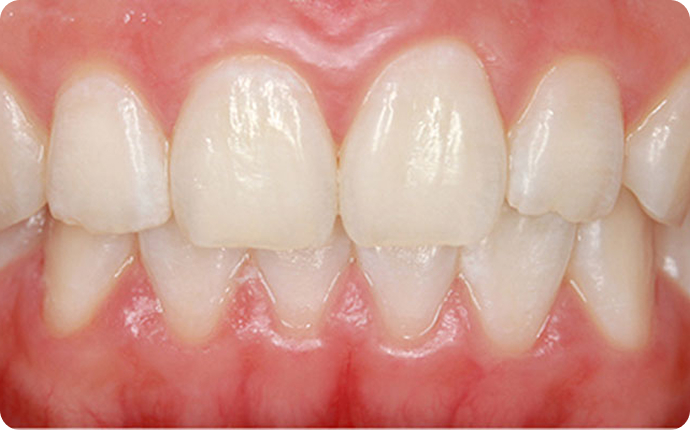
After
충치가 작은 경우엔,
해당 부위만 레진으로 치료하여,
더 이상 악화되지 않도록 합니다.
2단계
Before
충치가 진행되어 법랑질에 손상이 생기면
치과에서의 충전 치료가 필요합니다.
충치 부위를 제거하고 필링으로 치아를 복원합니다.
After
충치가 커지면 레진보다
강도가 좋은 인레이 치료를 통해
충치 부위를 메워주어야 합니다.
3단계
Before
충치가 신경까지 도달하면 근관치료(신경치료)가 필요합니다.
감연된 신경을 제거하고 치아 내부를 소독한 후
보철물로 복원합니다.
After
심한 충치는 충치 제거 후, 치아 보강이 필요합니다.
크라운으로 씌워주거나, 치아를 최대한 보존하기 위한
미니쉬 치료가 있습니다.
과잉 진료와 놓치는 것 없이
검진이 가능한 패키지가 포함되어 있어요.

편리하고 오차없는 디지털 스캔 AI 진단으로 정확하게

과잉 없는 진단 보이지 않는 문제까지 꼼꼼하게

폰 안에 넣는 헬스리포트 내 구강 상태 확인

유익균을 늘려 구강 건강 전반을 개선해줍니다.
충치와 잇몸병 예방과 입 냄새까지 줄여 상쾌한
구강 상태를 유지할 수 있습니다.
치과 치료 후에도 건강을 오래 유지하는 데 도움이 되며,
복용도 간편해 일상 속 관리에 부담이 없습니다.
확실한 구강 건강 관리를 원한다면 유산균이 효과적입니다.

보톡스는 치아 보호와 얼굴 라인 개선에 효과적입니다.
씹는 근육을 완화해 부드러운 얼굴선을 만들고,
미소 보톡스로 예쁜 웃음까지 디자인할 수 있습니다.
주름 개선으로 동안 효과도 기대할 수 있어,
간편하게 아름다움을 원하신다면 추천드립니다.

수면 중 이갈이는 평소보다 3배 강한 힘으로 치아를
손상시킬 수 있어 수명을 단축시킵니다.
이갈이 장치(마우스피스)를 착용하면 치아를 보호하고
마모를 예방할 수 있으며 간단한 방법으로
치아 건강을 오래 지키고 싶다면 꼭 필요한 선택입니다.

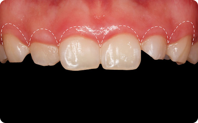
잇몸이 내려가 나이 들어 보인다면,
잇몸 필러로 간단히 개선할 수 있습니다.
블랙 트라이앵글도 채워져 어려 보이고 건강한 인상을 줍니다.
시술이 간편하고 효과도 바로 나타나
부담 없이 생기 있는 미소를 되찾을 수 있습니다.
더 자신 있게 웃고 싶다면 잇몸 필러가 좋은 선택입니다.